
Forhåndsinnstillingen Lung (Lunge) er optimalisert for å fremheve artefaktene som er forbundet med lungeavbildning, og muliggjør enkel visualisering av lungeglidning ved det pleurale grensesnittet. Det vises avanserte avbildingsteknikker (SonoCT, Harmonics og Xres) er ikke aktive/utkoblet i dette presettet/forhåndsinstillingen for bedre fremstilling av tegn som «A-linjer» og «B-linjer».


Forhåndsinnstillingen for abdomen er optimalisert for robust penetrasjon og allsidig skanning av abdomen. Optimalisering av fargedoppler i abdomen er utformet for rask fremhevning av høyere flows i abdominale arterier så vel som lavere flows i organer som nyrene.


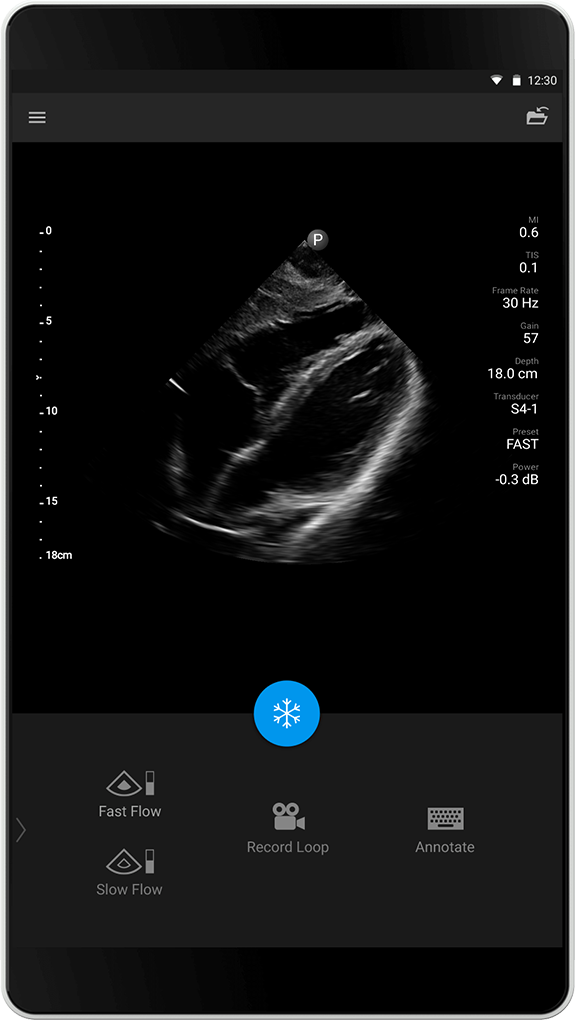
Forhåndsinnstillingen FAST (Focused Assessment with Sonography for Trauma) er optimalisert spesielt for fokusert vurdering med sonografi for traumer. Forhåndsinnstillingen gir sterk penetrasjon og forbedrer visualisering av fri væske i abdomen som hjelp til raske, sikre resultater.


Forhåndsinnstillingen ECHO (Ekko) er optimalisert for å gi hjertebilder av høy kvalitet med sterk penetrasjon for teknisk vanskelige pasienter. Vevsharmonisk avbildning (THI) muliggjør tydelig visualisering av blodfylte kamre og vevsstrukturene i hjertet. Fargestrømning er optimalisert for høye strømningshastigheter for rask visualisering av hjertefunksjon.

Ved å klikke på koblingen forlater du det offisielle nettstedet til Philips Electronics Ltd. ("Philips"). Eventuelle lenker til tredjeparts nettsteder som kan vises på dette nettstedet er kun gitt for din bekvemmelighet og representerer på ingen måte noen tilknytning til eller godkjenning av informasjonen som er gitt på disse koblede nettstedene. Philips gir ingen representasjoner eller garantier av noe slag med hensyn til tredjeparts nettsteder eller informasjonen der.
I understandYou are about to visit a Philips global content page
ContinueVed å klikke på koblingen forlater du det offisielle nettstedet til Philips Electronics Ltd. ("Philips"). Eventuelle lenker til tredjeparts nettsteder som kan vises på dette nettstedet er kun gitt for din bekvemmelighet og representerer på ingen måte noen tilknytning til eller godkjenning av informasjonen som er gitt på disse koblede nettstedene. Philips gir ingen representasjoner eller garantier av noe slag med hensyn til tredjeparts nettsteder eller informasjonen der.
I understandYou are about to visit a Philips global content page
ContinueSelect country/region
Norge (Norsk)Nettstedet vises best med den nyeste versjonen av Microsoft Edge, Google Chrome eller Firefox.